南京鼻息肉有哪些典型症状?会引起哪些并发症?
来源:南京仁品耳鼻喉医院
发布日期:2025-10-18 09:49
浏览:105次
鼻息肉是临床多发的鼻部良性疾病,患病后不仅会引发一系列鼻部不适,干扰正常呼吸,若拖延治疗,息肉持续增大还可能导致鼻背增宽、形成“蛙鼻”,影响面部美观。更值得警惕的是,鼻息肉若长期未得到规范干预,还可能诱发多种并发症,甚至威胁健康。以下为你详细梳理鼻息肉的典型症状、潜在危害,帮你早发现、早应对。
一、鼻息肉的典型症状,早识别早排查
鼻息肉的症状会随息肉大小、类型变化,不同阶段表现各有侧重,常见症状如下:
1.持续性鼻塞:这是鼻息肉最核心的症状,且会随息肉增大逐渐加重。鼻塞还会引发连锁反应,如嗅觉减退、说话带有闭塞性鼻音、睡眠时打鼾或被迫张口呼吸,长期如此还可能继发慢性咽炎。
2.异常分泌物:早期鼻内常有“擤不出”的黏液感,分泌物多为浆液性;若合并感染,会出现脓性鼻涕。多数患者打喷嚏症状较少,但如果鼻黏膜存在变态反应性炎症,也可能出现打喷嚏的情况。
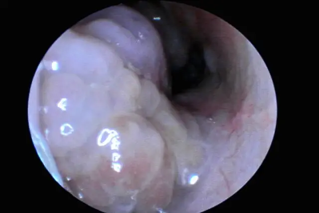
3.不同类型息肉的特征:
粘液性息肉:最常见,外观类似剥皮葡萄或鲜荔枝肉,表面光滑半透明、呈粉红色,带有细蒂,触感柔软可活动,多生长在中鼻道内;
纤维性息肉:呈灰白色,表面光滑,触感较硬实,不易出血;
出血性息肉:较为少见,表面光滑充血、呈暗红色,触感柔软,容易出血。
4.病情进展后的症状:息肉持续增长会导致鼻塞明显加重,进而引发头痛、头昏,嗅觉减退甚至完全丧失;若息肉阻塞后鼻孔或突入鼻咽部,会影响咽鼓管功能,导致听力下降;长期发展还会使鼻背增宽,形成“蛙鼻”。

二、拖延治疗危害极大,这些并发症要警惕
鼻息肉并非“良性肿物”就可忽视,若治疗不及时,不仅症状会持续恶化,还可能诱发多种严重并发症:
1.诱发全身性疾病:鼻息肉长期刺激鼻腔及周围组织,可能诱发高血压、糖尿病等慢性疾病,部分患者还可能出现突发性休克、耳鸣等问题。
2.引发哮喘:鼻息肉与上呼吸道炎症密切相关,长期不治疗会导致炎症迁延,进而诱发哮喘,加重呼吸功能损伤。
3.并发耳部疾病:息肉增大可能阻塞鼻窦,引发鼻窦炎;炎症进一步影响咽鼓管功能,会导致分泌性中耳炎,出现耳闷、听力下降等症状。
4.存在癌变风险:虽然鼻息肉本身为良性,但长期受炎症刺激、反复感染,病情恶化时可能突发癌变,直接威胁生命健康。
5.影响脑部健康:鼻塞导致呼吸不畅,会造成脑部供氧不足,尤其老年患者,可能增加患老年痴呆症的风险。
6.压迫邻近器官:息肉持续增大后,会挤压、破坏鼻窦壁或鼻腔顶壁,进而侵犯眼眶、蝶窦等邻近部位,引发恶性病变。
三、及时规范治疗是关键
鼻息肉发病初期症状可能不明显,容易被忽视,很多患者因此错过最佳治疗时机。为避免上述危害,一旦出现持续性鼻塞、鼻内黏液感、嗅觉减退等类似症状,务必及时到专业的耳鼻喉医院进行科学规范的检查和治疗。
鼻息肉的危害远不止“鼻塞”,及时干预不仅能缓解不适、避免“蛙鼻”影响美观,更能降低并发症风险。建议出现相关症状后,尽早到专业医院就诊,如果您还有其他疑问,或是想获取专业的治疗建议,可点击在线咨询医生,或拨打仁品咨询问诊电话:025-85262032,会有专人为您答疑解惑,网上预约还可享受挂号优惠!

